L’arthrose du genou est une condition médicale qui implique l’usure progressive du cartilage présent au niveau des surfaces articulaires du genou, qui est l’articulation entre le fémur et le tibia. Cette usure s’accompagne de changements dans les os du fémur, du tibia et de la rotule. Les symptômes courants comprennent des douleurs au genou, une raideur articulaire et des difficultés à marcher. Les traitements initiaux tels que les anti-inflammatoires et les analgésiques peuvent perdre leur efficacité au fil du temps.
Certaines personnes sont plus susceptibles de développer une arthrose du genou, notamment celles ayant des antécédents familiaux, un excès de poids, des blessures articulaires antérieures ou une usure excessive due à des activités à impact élevé.
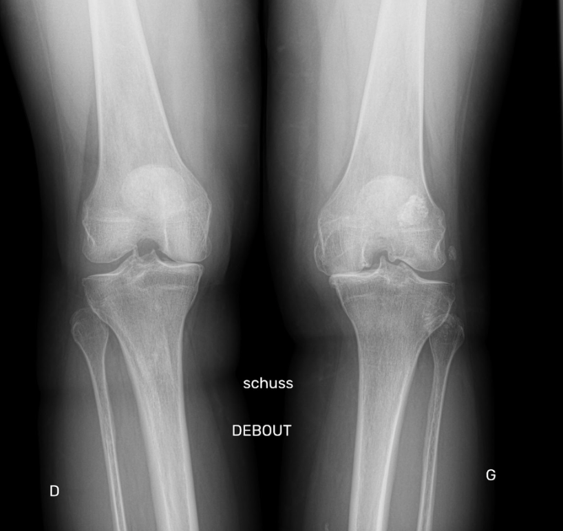
Le diagnostic de l’arthrose du genou se fait par l’évaluation des symptômes, des antécédents médicaux et des examens radiologiques tels que les radiographies. En cas de progression de la maladie et de douleurs persistantes malgré les traitements non chirurgicaux, une prothèse totale du genou peut être envisagée.
Le diagnostic de l’arthrose du genou est établi en fonction des symptômes, des antécédents médicaux et des radiographies pour évaluer l’état des surfaces articulaires et des os du genou.
Les options de traitement comprennent initialement des mesures non chirurgicales telles que les médicaments anti-inflammatoires et analgésiques, la physiothérapie et la perte de poids si nécessaire. Le traitement par mésothérapie est une option fiable dans les stades débutants.
La chirurgie devient la seule solution lorsque le traitement médical n’est plus efficace et que les examens complémentaires (radiographies) mettent en évidence une arthrose avancée. Ce traitement chirurgical est le remplacement de l’articulation par une prothèse du genou.
En accord avec le chirurgien et selon la balance bénéfices / risques, il vous a été proposé une prothèse totale de genou. Le chirurgien vous a expliqué les autres alternatives.
L’indication opératoire dépend surtout de la douleur et de la gêne fonctionnelle (limitation de la mobilité articulaire, retentissement sur la marche…). La décision du moment de l’intervention incombe au patient et à personne d’autre.
Les principaux bénéfices à attendre d’une prothèse sont la réduction et l’élimination des douleurs, la récupération de la mobilité et l’amélioration de la qualité de vie.
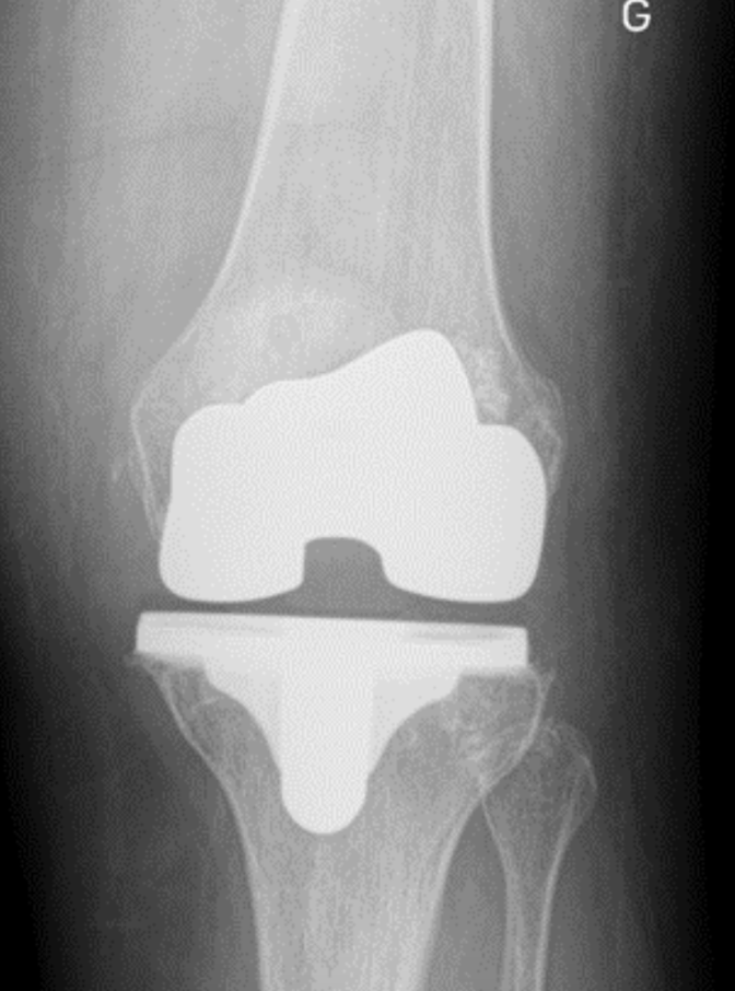
Une prothèse totale du genou consiste à retirer les zones usées du cartilage et des os du genou et à les remplacer par des pièces artificielles conçues pour restaurer la mobilité et soulager la douleur. Cette procédure peut être réalisée avec une technique mini-invasive pour une récupération plus rapide.
La prothèse du genou peut offrir un soulagement significatif de la douleur et une amélioration de la mobilité. Les résultats varient, mais la récupération complète est souvent possible. Les activités légères comme le vélo et la natation sont recommandées, tandis que des activités plus intenses doivent être pratiquées avec prudence pour éviter l’usure prématurée de la prothèse.
Nous espérons que ces informations vous ont permis de mieux comprendre l’arthrose du genou et la prothèse du genou. Pour toute question ou préoccupation, n’hésitez pas à prendre rendez-vous avec le Dr. Gastaud, qui se tient à votre disposition pour discuter de votre situation spécifique et des meilleures options de traitement adaptées à vos besoins.
Après une prothèse totale du genou, la récupération implique une rééducation post-opératoire sous la supervision d’un kinésithérapeute. La reprise des activités varie en fonction de l’individu et de sa profession. Pour prévenir l’arthrose du genou, il est conseillé de maintenir un poids santé, d’éviter les activités à impact élevé et de prendre des précautions lors d’activités physiques.
Ces risques cumulés sont actuellement inférieurs à 5% dans les séries publiées et les méta analyses.
Heureusement très rare, cette complication est néanmoins grave et nécessite la plupart du temps une nouvelle opération. Les protocoles de prévention en matière d’infection sont extrêmement stricts et réalisés de façon systématique dans tous les centres en France. Contrairement aux idées reçues, il n’y a pas de différence sur les risques infectieux entre l’immense majorité des centres chirurgicaux, qu’ ils soient publics ou privés.
Par contre, l’obésité, le tabagisme, le diabète, un état bucco dentaire précaire, sont des facteurs de risques infectieux qu’il ne faut pas négliger.
Après une chirurgie de prothèse de genou, le risque de développer une thrombose veineuse profonde (TVP) est accru. Il s’agit de la formation de caillots sanguins dans les veines profondes de la jambe, pouvant entraîner une embolie pulmonaire si un caillot se déplace vers les poumons.
La prothèse du genou, en particulier la prothèse totale, est une intervention assez lourde. En général, le saignement est modéré mais peut être majoré par la prise d’anticoagulants au long cours. L’hématome est source de douleurs et de raideur de l’articulation, pouvant à terme retentir sur le résultat final de l’intervention.
Pour le prévenir, plusieurs moyens sont utilisés:
La raideur articulaire peut survenir si la rééducation n’est pas bien suivie ou si le genou présente un gonflement important après l’opération. Cela peut limiter la flexion et l’extension du genou, rendant difficile la reprise des activités quotidiennes.
ce risque est extrêmement rare dans les prothèses du genou. Il survient généralement après un traumatisme chute, et peut être très grave, avec des risques pour les vaisseaux sanguins qui passent à l’arrière du genou.
Certaines personnes peuvent rencontrer des difficultés dans la cicatrisation après une intervention. Cela peut se manifester par une rougeur persistante, une ouverture de la cicatrice ou un retard dans la guérison des tissus.
il s’agit d’une complication très rare (moins de 0,5%) mais invalidante, qui retarde la récupération fonctionnelle.
Même si l’amélioration et les résultats sont significatifs, certains patients conservent des gènes, ou parfois des douleurs persistantes.
Des examens pourront être demandés pour en préciser l’origine qui peut être musculaire ou tendineuse. Parfois on ne trouve pas d’explication à certaines douleurs persistantes.
il s’agit de complications tardives, dues en général à l’usure de la prothèse après de nombreuses années. La durée de vie d’une prothèse de genou est en moyenne de 15 à 20 ans, mais en fonction de l’âge et du type d’activité physique, peut varier.
Le Docteur Olivier Gastaud répond à vos questions les plus fréquentes sur la Prothèse du genou. Le Docteur Olivier Gastaud est chirurgien orthopédique à Mougins – Cannes.
La période pendant laquelle vous pourrez recommencer à marcher après une prothèse du genou peut varier en fonction de divers facteurs, notamment votre état de santé général, la technique chirurgicale utilisée et votre réponse à la rééducation post-opératoire. En règle générale, les patients peuvent commencer à marcher avec l'aide de béquilles dès le lendemain de l'intervention. La montée et la descente des escaliers peuvent généralement être entreprises après les premiers jours. Cependant, la vitesse de récupération varie d'une personne à l'autre.
Le taux d'invalidité lié à une prothèse du genou dépend de divers facteurs, notamment l'étendue de la dégradation de l'articulation avant la chirurgie, la qualité de la procédure chirurgicale, la rééducation post-opératoire et la réponse individuelle du patient au traitement. Les taux d'invalidité sont généralement évalués par des professionnels de la santé et peuvent varier en fonction de la législation et des critères médicaux spécifiques de chaque pays.
Après une prothèse de genou, il est important d'éviter certains mouvements qui pourraient mettre une pression excessive sur la prothèse ou compromettre la guérison. Ces mouvements à éviter comprennent le pivotement brusque sur le genou opéré, la flexion excessive de l'articulation, et les mouvements de torsion. Votre chirurgien et votre kinésithérapeute vous fourniront des conseils spécifiques sur les mouvements à éviter pendant la période de récupération.
Une opération de prothèse du genou est généralement réalisée sous anesthésie générale ou rachi-anesthésie. Une incision est pratiquée au niveau de la partie antérieure du genou, et une partie de la rotule peut être déplacée pour accéder à l'articulation. Le cartilage usé est retiré, et les surfaces du fémur, du tibia et de la rotule sont préparées pour recevoir les composants de la prothèse. La prothèse totale du genou est composée de trois parties : la partie fémorale, la partie tibiale et la partie rotulienne. Une fois implantée, la prothèse est positionnée pour assurer une stabilité optimale du genou. La durée moyenne de l'opération est d'environ 1 heure et demie, et l'hospitalisation dure généralement environ 5 jours.
Pour prendre rendez-vous il vous suffit de choisir la catégorie de motif puis le créneau qui vous convient. Vous recevrez par la suite un mail de confirmation ainsi qu’un SMS quelques jours avant votre rendez-vous.