Fracture de l’épaule (fracture de l’extrémité proximale de l’humérus)
- Accueil
- Fracture de l’épaule
Qu’est-ce qu’une fracture de l’extrémité supérieure de l’humérus ?
Une fracture de l’extrémité supérieure de l’humérus est une blessure qui se produit lorsque l’os de l’humérus, situé dans la partie supérieure du bras, se casse à proximité de l’articulation de l’épaule.
Les fractures de l’extrémité supérieure de l’humérus peuvent survenir à la suite de chutes sur le bras étendu, des accidents de voiture, des traumatismes sportifs, ou des chocs directs sur l’épaule.
Il touche volontiers les femmes âgées présentant de l’ostéoporose. Ces fractures sont très fréquentes, il s’agit du troisième type de fracture le plus fréquent après la fracture du poignet et du fémur proximal (col du fémur).
Bien que l’on parle « d’une » fracture, très souvent il y a plusieurs traits de fracture. Leur analyse, ainsi que les déplacements éventuels des fragments osseux, est capital pour décider de la meilleure prise en charge adaptée au patient et à son type de fracture.
Quels sont les symptômes d’une fracture de l’extrémité supérieure de l’humérus ?
Les symptômes typiques incluent une douleur intense, un gonflement, une déformation de l’épaule, une difficulté à bouger le bras, une sensation de faiblesse, et parfois un craquement lors de la blessure. Le patient ne peut plus bouger le bras et le maintiens contre le corps avec l’autre bras.
Comment diagnostique-t-on une fracture de l’extrémité supérieure de l’humérus ?
Le diagnostic est fait en réalisant un bilan radiographique simple. Lorsque la fracture est confirmée, un bilan scanner sans injection est presque toujours réalisé actuellement. En effet, il permettra de visualiser les différents traits de fracture et le déplacement des différents pièces osseuses avec précision. De cette analyse découle la prise en charge de cette fracture.
Quels sont les types de fractures de l’extrémité supérieure de l’humérus ?
Les fractures de l’extrémité supérieure de l’humérus peuvent être classées en plusieurs catégories, en fonction du nombre de fragments osseux et de leur déplacement.
Vous entendrez ainsi parler de trochiter ou grosse tubérosité, trochin ou petite tubérosité, tête humérale, col chirurgical, gouttière du biceps.
- Tête humérale
- Trochiter
- Trochin
- Col chirurgical
Comment traite-t-on ces fractures ?
Le traitement dépend du type de fracture et de sa gravité. Le chirurgien prendra également en compte l’âge du patient, ses éventuels antécédents médicaux ou chirurgicaux, ainsi que la demande fonctionnelle (gestes de la vie courante, sport intensif).
Ainsi, le mode de vie du patient est très important à prendre en considération.
Dans la grande majorité des cas, une simple immobilisation du bras est réalisée. C’est ce que l’on appelle le traitement orthopédique. Le patient sera immobilisé dans une attelle coude au corps ou avec un coussin pendant quelques semaines.
En parallèle, un traitement pour la douleur sera délivré et le patient est encouragé à glacer son épaule pour limiter l’hématome et la douleur.
Bien souvent, un volumineux hématome apparaitra après quelques jours, pouvant diffuser dans le coude et sur le sein.
Cette immobilisation ne doit pas être un carcan. Le patient doit sortir de l’attelle pour s’habiller, pour la toilette afin d’éviter des complications ou des irritations. Il faudra qu’il bouge activement les doigts et la main, et devra masser son coude pour limiter le gonflement et l’œdème.
Pour les fractures plus graves, une intervention chirurgicale, telle que la fixation interne avec un matériel d’ostéosynthèse, peut être nécessaire.
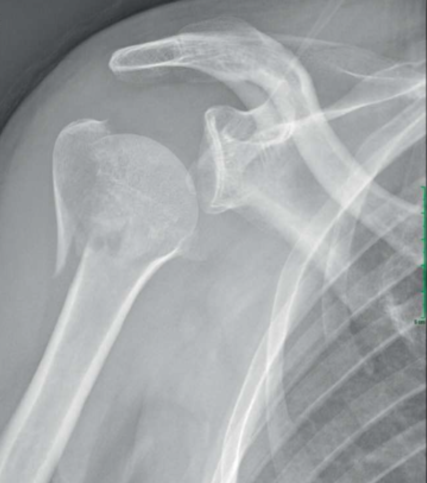
Enfin, il arrive que la fracture soit trop sévère pour conserver l’articulation. Chez les personnes âgées notamment, une indication de prothèse spéciale pour fracture peut s’avérer nécessaire.
Quelle est la durée de récupération, combien de temps dure l’immobilisation ?
L’objectif du traitement, qu’il soit orthopédique ou chirurgical, est de mobiliser rapidement le bras. L’évolution des traitements permet en général de sortir de l’attelle pour commencer une auto-rééducation en douceur au bout d’environ 15 jours.
Il s’agit de trouver un équilibre entre le bénéfice de l’attelle et ses inconvénients qui sont la raideur et la perte musculaire entrainée par l’arrêt de tout mouvement.
Le chirurgien suivra de près le patient les premières semaines pour l’autoriser progressivement à bouger, en lui montrant des exercices spécifiques, dont vous pouvez retrouver des exemples dans la partie rééducation de l’épaule
Rééducation de l’épaule – Dr Olivier Gastaud (dr-gastaud-olivier-orthopedie.fr)
L’attelle sera définitivement retirée entre 4 et 6 semaines après l’accident, en l’absence de complications. C’est à ce moment que débutera la rééducation chez le kinésithérapeute.
La durée totale de rééducation est variable en fonction du type de fracture et de traitement, mais elle sera longue et prolongée entre 3 et 6 mois.
Quelles sont les complications possibles de ces fractures ?
Les complications peuvent inclure une perte de mouvement de l’épaule, une raideur, une instabilité de l’articulation, une nécrose de la tête humérale, ou une douleur chronique. Le suivi médical est important pour minimiser ces risques.
Y a-t-il des exercices de rééducation recommandés après une fracture de l’extrémité supérieure de l’humérus ?
Oui, la physiothérapie est souvent essentielle pour restaurer la force et la mobilité de l’épaule. Les exercices peuvent inclure des étirements, des renforcements musculaires, et des mouvements progressifs pour retrouver une utilisation normale de l’épaule.
Rééducation de l’épaule – Dr Olivier Gastaud (dr-gastaud-olivier-orthopedie.fr)
Quelle est l’importance du suivi médical après une fracture de l’extrémité supérieure de l’humérus ?
Le suivi médical par votre chirurgien est crucial pour surveiller la guérison, ajuster le traitement si nécessaire, et prévenir les complications à long terme. Il est essentiel de suivre les recommandations de votre médecin.
Patients satisfaits
Dr Olivier Gastaud
Questions fréquentes sur la fracture de l’épaule
Le Docteur Olivier Gastaud répond à vos questions les plus fréquentes sur la fracture de l’épaule.
Docteur Olivier Gastaud – chirurgien orthopédique à Mougins – Cannes.
Une fracture de l'extrémité proximale de l'humérus est une rupture de l'os situé à la partie supérieure du bras, près de l'articulation de l'épaule. Cette blessure peut résulter d'une chute directe sur le bras tendu, d'un accident de la route, d'un traumatisme sportif ou d'un coup direct sur l'épaule. Elle est particulièrement fréquente chez les femmes âgées souffrant d'ostéoporose et représente le troisième type de fracture le plus courant. Il est important de noter que ces fractures peuvent présenter plusieurs lignes de fracture, nécessitant une analyse minutieuse pour déterminer le traitement le plus approprié en fonction de la complexité et du déplacement des fragments osseux.
Les symptômes d'une fracture de l'épaule incluent une douleur aiguë, un gonflement, une déformation visible de l'épaule, une difficulté à bouger le bras, une sensation de faiblesse et parfois un bruit de craquement au moment de la blessure. Le diagnostic commence par un examen clinique suivi d'un bilan radiographique pour confirmer la présence de la fracture. Un scanner est souvent réalisé pour obtenir une image précise des fragments osseux et de leur déplacement, ce qui est essentiel pour planifier le traitement adéquat.
Le traitement varie en fonction de la gravité de la fracture, de l'âge du patient, de ses antécédents médicaux et chirurgicaux, ainsi que de ses besoins fonctionnels. Pour les fractures moins sévères, une immobilisation avec une attelle ou un coussin peut suffire. Cette méthode conservatrice est accompagnée d'un traitement contre la douleur et de conseils pour limiter l'hématome et la douleur, comme l'application de glace. Pour les fractures plus complexes, une intervention chirurgicale peut être nécessaire pour fixer les fragments osseux avec du matériel d'ostéosynthèse. Dans certains cas, notamment chez les patients âgés avec des fractures sévères, la pose d'une prothèse spéciale pour fracture peut être la meilleure option.
La récupération après une fracture de l'épaule dépend du type de traitement. En général, l'immobilisation dure environ 4 à 6 semaines, après quoi la rééducation avec un kinésithérapeute peut commencer. La rééducation est cruciale et peut inclure des exercices d'étirement, de renforcement musculaire et des mouvements progressifs pour retrouver la pleine fonction de l'épaule. La durée totale de la rééducation varie mais peut s'étendre sur 3 à 6 mois. Un suivi médical régulier est essentiel pour surveiller la guérison, ajuster le traitement si nécessaire et prévenir les complications à long terme. Il est crucial de suivre scrupuleusement les recommandations du chirurgien pour optimiser la récupération.
Prendre un rendez vous
Vous souhaitez prendre un rendez-vous avec le Dr Olivier spécialiste de la chirurgie de prothèse de la hanche, du genou et de l’épaule ?
Pour prendre rendez-vous il vous suffit de choisir la catégorie de motif puis le créneau qui vous convient. Vous recevrez par la suite un mail de confirmation ainsi qu’un SMS quelques jours avant votre rendez-vous.
Horaires
- 08.00 - 18.00
- Fermé
- Fermé