Prendre rendez-vous en ligneDoctolib

Dr Olivier Gastaud

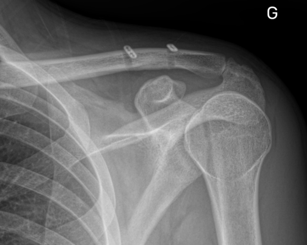
Luxation acromio claviculaire

Qu’est-ce que la luxation acromio-claviculaire ?

L’articulation acromio-claviculaire relie l’acromion (partie supérieure de l’omoplate) à la clavicule. Cette articulation permet la mobilité de l’épaule, en particulier lors de l’élévation du bras au-dessus du niveau de l’épaule. En cas de traumatisme à l’épaule (chute sur le moignon de l’épaule), les ligaments acromio-claviculaires et coraco-claviculaires (véritables ligaments croisés de l’épaule) peuvent être rompus, provoquant une luxation acromio-claviculaire. Cela se traduit par une perte de cohérence entre l’acromion et la clavicule.

 

Qui est le plus à risque ?

La luxation acromio-claviculaire survient suite à des traumatismes, souvent lors d’accidents sportifs ou accidents de la vie quotidienne. Les sports de contact comme le rugby ou le judo augmentent le risque. Ces lésions surviennent volontiers au cours d’accidents de la voie publique (2 roues, vélos). Les personnes exposées aux chocs latéraux ou antérieurs de l’épaule sont également plus à risque.

Diagnostic et Traitement

 

Comment est posé le diagnostic ?

Le diagnostic implique un examen clinique où le médecin effectuera une palpation pour rechercher la douleur et évaluer la mobilité de l’articulation et de la clavicule. Des examens d’imagerie, tels que des radiographies de face et de profil, scanner, sont utilisés pour confirmer le diagnostic et évaluer la gravité de la luxation.

Il conviendra de rechercher des lésions associées dans l’épaule, qui peuvent passer inaperçues (lésions de la coiffe des rotateurs, lésions de l’articulation gléno humérale).

 

Quelles sont les options de traitements ?

Le traitement de ces disjonctions acromio-claviculaires reste très discuté et aucun consensus n’est établi à l’heure actuelle. De multiples paramètres permettent d’évaluer une indication de stabilisation chirurgicale:

Le stade de gravité de la luxation (selon la classification de Rockwood) :

  • Stades 1 et 2: Un traitement médical avec antalgiques et écharpe peut suffire.
  • Stade 3: Une intervention chirurgicale est envisagée pour les cas complexes.
  • Stades 4 à 6: Une intervention chirurgicale est nécessaire pour rétablir la mobilité de l’articulation.

L’âge et le niveau de pratique sportive du patient

Le type de sport du patient (sport de combat, sport de contact)

Le délai après la survenue de la luxation. Au-delà de 15 jours après l’accident, délai pouvant permettre une bonne cicatrisation en cas d’intervention, il faut encourager le traitement médical et réserver l’intervention en cas d’échec.

Le tabagisme est un critère majeur de cicatrisation des ligaments et doit entrer en ligne de compte dans le choix d’une intervention chirurgicale.

Quel est le traitement chirurgical 

En cas d’intervention, celle-ci peut être réalisée dans la majorité des cas sous vidéo chirurgie (arthroscopie), en ambulatoire avec un retour le soir de l’intervention au domicile. Il faudra compter environ 3 semaines d’immobilisation puis une rééducation de 2 à 4 mois dans les suites.

L’intervention consiste à placer des petites plaquettes métalliques reliées entre elles par des fils à haute résistance, pour réduire la luxation (double bouton arthroscopique).

 

Dans les cas chroniques, ou après échec de traitement médical, il est nécessaire d’associer au double bouton une ligamentoplastie (comme pour le ligament croisé du genou). Cette intervention, dite de Weaver Dunn Chuinard, a été le sujet de thèse du Dr Gastaud, et a fait l’objet de multiples publications scientifiques.

 

Récupération et Prévention

 

Quel est le processus de récupération ?

Après l’opération, une attelle coude-au-corps protégera l’épaule pendant 4 à 6 semaines. La rééducation post-opératoire est essentielle pour restaurer la mobilité normale de l’articulation.

 

Comment peut-on le prévenir ?

Étant donné que la luxation acromio-claviculaire est causée par des traumatismes directs, il est difficile de la prévenir complètement. Cependant, les protections appropriées lors de la pratique de sports à risque peuvent aider à minimiser les risques.

 

Consultation en cas de suspicion

Si vous ressentez des douleurs, une impotence fonctionnelle ou une déformation de l’épaule après un traumatisme, il est conseillé de consulter un professionnel de la santé pour un diagnostic précis et un plan de traitement adapté à votre situation.

 

Résultats et Complications

La plupart des patients récupèrent leur mobilité et réduisent les douleurs après l’opération. Cependant, il existe des risques de complications, notamment des réactions inflammatoires, des infections, des saignements et des raideurs articulaires. Votre chirurgien discutera avec vous des risques spécifiques liés à l’intervention.

young-woman-cosmetologist-in-blue-uniform-holding-syringe-beauty-face-injection.jpg
0

Succesful Surgery

FAQ

General Question

Lorem ipsum dolor sit amet, consectetur adipiscing elit, sed do eiusmod tempor incididunt ut labore et dolore magna aliqua.
Lorem ipsum dolor sit amet, consectetuer adipiscing elit. Aenean commodo ligula eget dolor. Aenean massa. Cum sociis natoque penatibus et magnis dis parturient montes
young-woman-cosmetologist-in-blue-uniform-holding-syringe-beauty-face-injection.jpg
0

Succesful Surgery

FAQ

General Question

Lorem ipsum dolor sit amet, consectetur adipiscing elit, sed do eiusmod tempor incididunt ut labore et dolore magna aliqua.
Lorem ipsum dolor sit amet, consectetuer adipiscing elit. Aenean commodo ligula eget dolor. Aenean massa. Cum sociis natoque penatibus et magnis dis parturient montes
U1DVa3DN
0

Patients satisfaits

Dr Olivier Gastaud

Questions fréquentes sur le conflit fémoro-acétabulaire

Le Docteur Olivier Gastaud répond à vos questions les plus fréquentes sur le conflit fémoro-acétabulaire​. Le Docteur Olivier Gastaud est chirurgien orthopédique à Nice.

U1DVa3DN
Dr Olivier Gastaud

Questions fréquentes sur la luxation acromio-claviculaire

Le Docteur Olivier Gastaud répond à vos questions les plus fréquentes sur la luxation acromio-claviculaire. Le Docteur Olivier Gastaud est chirurgien orthopédique à Mougins – Cannes.

Les options de traitement pour la luxation acromio-claviculaire varient en fonction de la gravité de la condition. Pour les stades 1 et 2, où l'articulation est relativement stable, un traitement médical avec antalgiques et écharpes peut suffire. Cependant, si vous préférez éviter la chirurgie, il est essentiel de discuter de vos préférences et de vos besoins avec votre chirurgien. Ils pourront vous fournir des recommandations personnalisées en tenant compte de votre état de santé et de vos objectifs de traitement.



Prendre un rendez vous

Vous souhaitez prendre un rendez-vous avec le Dr Olivier spécialiste de la chirurgie de prothèse de la hanche, du genou et de l’épaule ?​

Pour prendre rendez-vous il vous suffit de choisir la catégorie de motif puis le créneau qui vous convient. Vous recevrez par la suite un mail de confirmation ainsi qu’un SMS quelques jours avant votre rendez-vous.

Horaires

Lun au Ven
Sam
Dim