Prendre rendez-vous en ligneDoctolib

Dr Olivier Gastaud

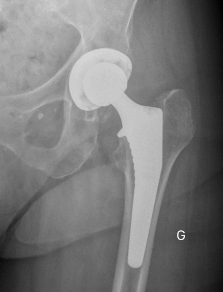
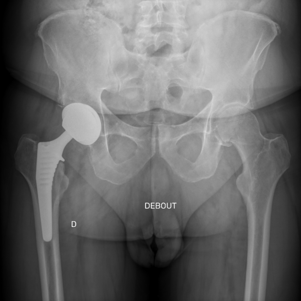
Prothese de hanche

La prothèse de hanche est une intervention chirurgicale couramment pratiquée par le Dr Gastaud pour remplacer une articulation de la hanche endommagée ou usée. Cette procédure est généralement recommandée pour les personnes souffrant d’arthrose, d’arthrite rhumatoïde, de nécrose de la tête fémorale ou de fractures graves de la hanche.

 

Qu’est-ce que c’est ?

La prothèse de hanche consiste en la mise en place de composants artificiels qui reconstituent l’articulation de la hanche. Elle vise à réduire la douleur, améliorer la mobilité et augmenter la qualité de vie des patients.

 

Qui est le plus à risque ?

Les personnes souffrant d’affections articulaires telles que l’arthrose, l’arthrite rhumatoïde, la nécrose de la tête fémorale ou ayant subi des fractures graves de la hanche sont les plus à risque et peuvent bénéficier de la prothèse de hanche.

Diagnostic et Traitement

Comment est posé le diagnostic ?

Le diagnostic de la nécessité d’une prothèse de hanche est établi par un examen clinique approfondi, des radiographies et éventuellement d’autres examens d’imagerie. Le Dr Gastaud évaluera votre condition médicale pour déterminer si une prothèse de hanche est appropriée.

Quelles sont les options de traitements ?

Les options de traitement varient en fonction de la gravité de la condition. Si les traitements conservateurs ne suffisent pas à soulager la douleur et à restaurer la fonction, le remplacement de la hanche par une prothèse peut être recommandé.

 

Qu’est ce que la technique par voie antérieure mini invasive?

La voie antérieure pour la prothèse de hanche est une technique chirurgicale utilisée pour remplacer une articulation de la hanche. Contrairement aux approches chirurgicales traditionnelles, la voie antérieure permet d’accéder à l’articulation en passant par l’avant de la cuisse, plutôt que par l’arrière ou le côté.

 

Lors d’une intervention chirurgicale avec la voie antérieure, le chirurgien fait une incision sur le devant de la cuisse, généralement le long d’une ligne entre l’aine et le quadriceps. Ensuite, il sépare les muscles sans les détacher de leur insertion osseuse, ce qui permet d’éviter de couper des tendons ou des muscles importants.

Cette approche présente plusieurs avantages potentiels. Tout d’abord, elle permet une récupération plus rapide, car elle évite de couper des muscles majeurs.

Les patients peuvent souvent commencer à marcher et à se déplacer plus rapidement après la chirurgie. De plus, la voie antérieure peut réduire le risque de luxation de la prothèse de hanche, car les muscles et les tendons ne sont pas détachés ni déplacés de leur position naturelle.

Cependant, la voie antérieure n’est pas toujours appropriée dans tous les cas. Cette technique nécessite une formation spécifique pour le chirurgien. De plus, elle peut être plus difficile d’un point de vue technique, car l’accès à l’articulation est plus limité.

 

Il est important de discuter avec le Dr Gastaud en consultation, pour déterminer si la voie antérieure est la meilleure option pour votre cas particulier. 

Chaque patient est unique, et le choix de l’approche chirurgicale doit être adapté à vos besoins et à votre condition médicale.

Récupération et Prévention

Quel est le processus de récupération ?

Après la chirurgie de prothèse de hanche, une période de réadaptation d’environ un mois est généralement nécessaire. Cette période permet aux muscles de la hanche de se renforcer et aux patients de retrouver leur mobilité normale. La technique de voie antérieure utilisée par le Dr Gastaud peut accélérer le processus de récupération.

 

Comment peut-on le prévenir ?

La prothèse de hanche étant souvent nécessaire pour des affections dégénératives, il est difficile de prévenir entièrement leur apparition. Cependant, maintenir un poids santé, suivre une activité physique régulière et adopter des habitudes de vie saines peut contribuer à réduire le risque de problèmes articulaires.

 

Consultation en cas de suspicion

Si vous ressentez des douleurs persistantes à la hanche, une mobilité réduite ou d’autres symptômes liés à l’articulation de la hanche, il est recommandé de consulter le Dr Gastaud. En tant qu’expert en chirurgie de la hanche, le Dr Gastaud pourra évaluer votre situation, discuter des options de traitement et vous guider vers la meilleure approche pour retrouver une meilleure qualité de vie.

Quels sont les risques potentiels après prothèse totale de hanche ?

Même si les risques associés à une prothèse totale de hanche sont aujourd’hui inférieurs à 5% grâce aux avancées médicales, il est important de connaître les éventuelles complications. Voici une explication détaillée des principaux risques :

1. Inégalité de longueur des jambes

  • Comment ce risque est-il minimisé ?

    • Une planification informatique préopératoire est réalisée pour anticiper les besoins spécifiques de chaque patient.
    • Une analyse peropératoire est effectuée pour ajuster la position pendant la chirurgie, en particulier lors de la voie antérieure, où le patient est positionné sur le dos.
  • Pourquoi une inégalité peut-elle encore survenir ?

    • Malgré ces précautions, des ajustements de la tige ou des variations dans la posture peuvent entraîner une légère différence de longueur entre les jambes.
    • Dans la majorité des cas, cette inégalité est imperceptible pour le patient. Toutefois, dans certains cas, elle peut être ressentie et devenir gênante.

 

2. Luxation de la prothèse

  • Un risque réduit grâce aux avancées médicales :
    • Au cours des 20 dernières années, les progrès dans la voie antérieure de la hanche et l’utilisation d’implants à double mobilité ont considérablement réduit le risque de luxation.
    • De plus, le dépistage des patients à risque, tels que ceux ayant des antécédents de chirurgie lombaire, contribue à réduire ce risque à moins de 1%.

 

3. Infection de la prothèse

  • Pourquoi ce risque est-il préoccupant ?

    • Bien que rare, l’infection d’une prothèse est une complication grave nécessitant souvent une réintervention chirurgicale.
  • Quels sont les protocoles de prévention ?

    • Des protocoles stricts de prévention contre les infections sont systématiquement appliqués dans tous les centres en France, qu’ils soient publics ou privés.
  • Quels sont les facteurs de risque ?

    • L’obésité, le tabagisme, le diabète, et un état bucco-dentaire précaire augmentent le risque d’infection. Il est important de prendre en compte ces facteurs avant la chirurgie pour minimiser les risques.

 

4. Phlébite ou thrombose veineuse profonde

  • Qu’est-ce que c’est ?

    • Une phlébite est une thrombose veineuse profonde, un caillot de sang qui se forme dans une veine profonde.
  • Pourquoi cela peut-il se produire ?

    • Même avec un traitement préventif systématique et adapté, ce risque peut persister après la chirurgie.

 

5. Risque neurologique

  • Quelle est la nature de ce risque ?

    • Le risque neurologique est une complication très rare (moins de 0,5%) mais peut être invalidante, retardant la récupération fonctionnelle.
  • Quels nerfs peuvent être affectés ?

    • Cela dépend de la voie d’abord :
      • Voie postérieure : risque d’atteinte du nerf sciatique.
      • Voie antérieure : risque d’atteinte du nerf fémoro-cutané (sensibilité de la cuisse) ou du nerf crural.
  • Quelles sont les conséquences ?

    • La plupart du temps, l’atteinte est partielle, entraînant une diminution de sensibilité ou une faiblesse musculaire.
    • La récupération est généralement complète, mais elle peut prendre entre 6 mois et 1 an, car le nerf est étiré mais pas rompu.

 

6. Persistance de douleurs ou résultats décevants

  • Pourquoi certaines douleurs persistent-elles ?

    • Bien que la majorité des patients voient une amélioration significative après la chirurgie, certaines gênes ou douleurs peuvent persister.
  • Quelles sont les causes possibles ?

    • Des examens complémentaires peuvent être nécessaires pour identifier l’origine des douleurs, qui peuvent être d’origine musculaire ou tendineuse.
    • Dans certains cas, il peut ne pas y avoir d’explication claire à ces douleurs persistantes.

 

7. Descellement et usure de la prothèse

  • Qu’est-ce que c’est ?

    • Le descellement ou l’usure de la prothèse sont des complications tardives, généralement liées à l’usure de la prothèse après de nombreuses années.
  • Quelle est la durée de vie d’une prothèse de hanche ?

    • En moyenne, une prothèse de hanche dure entre 20 et 25 ans, mais cette durée peut varier en fonction de l’âge du patient et de son niveau d’activité physique.
prothese hanch
Dr Olivier Gastaud

Questions fréquentes sur la Prothèse de hanche

Le Docteur Olivier Gastaud répond à vos questions les plus fréquentes sur la Prothèse de hanche. Le Docteur Olivier Gastaud est chirurgien orthopédique à Mougins – Cannes.

Les coûts associés à une prothèse de hanche peuvent varier en fonction de plusieurs facteurs, tels que la région géographique, le type de prothèse utilisé, l'établissement médical et la couverture d'assurance. En général, une prothèse de hanche peut être couverte par l'assurance santé, mais il est recommandé de vérifier auprès de votre assureur pour connaître les détails de la couverture. Le Dr Gastaud et son équipe pourront également vous fournir des informations sur les coûts estimés et les options de paiement lors de votre consultation pré-opératoire.
Prendre un rendez vous

Vous souhaitez prendre un rendez-vous avec le Dr Olivier spécialiste de la chirurgie de prothèse de la hanche, du genou et de l’épaule ?​

Pour prendre rendez-vous il vous suffit de choisir la catégorie de motif puis le créneau qui vous convient. Vous recevrez par la suite un mail de confirmation ainsi qu’un SMS quelques jours avant votre rendez-vous.

Horaires

Lun au Ven
Sam
Dim