
Impact psychologique d’une chirurgie de prothèse : comment s’y préparer ?
La chirurgie de pose d’une prothèse, qu’il s’agisse d’une prothèse de hanche ou de genou, représente une étape importante dans le parcours de soin du

La chirurgie de pose d’une prothèse, qu’il s’agisse d’une prothèse de hanche ou de genou, représente une étape importante dans le parcours de soin du

La pose d’une prothèse de hanche est aujourd’hui une intervention fiable et largement pratiquée, permettant de restaurer la mobilité et de soulager les douleurs liées

La prothèse totale de hanche (PTH) est un traitement éprouvé pour les douleurs et la limitation fonctionnelle causées par l’arthrose ou d’autres pathologies de la

Voyager avec une prothèse de hanche ou de genou suscite souvent des interrogations, notamment lorsqu’il s’agit de franchir les portiques de sécurité dans les aéroports.

La chirurgie de pose d’une prothèse, qu’il s’agisse d’une prothèse de hanche ou de genou, représente une étape importante dans le parcours de soin du

La pose d’une prothèse, qu’il s’agisse de la hanche ou du genou, est une étape clé vers une meilleure qualité de vie. Cependant, la réussite

Qu’est-ce que la coiffe des rotateurs ? Comme son nom l’indique, il s’agit de l’ensemble des tendons qui viennent coiffer la tête de l’humérus, et

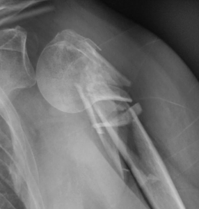
Qu’est-ce qu’une fracture de l’épaule ? L’épaule, composée de l’omoplate, de l’humérus et d’une partie de la clavicule, est une articulation complexe et susceptible de

L’introduction de la réalité augmentée (RA) dans le champ de la chirurgie orthopédique ouvre des perspectives nouvelles et prometteuses pour le traitement des affections de

Le tabagisme, largement reconnu pour ses effets néfastes sur la santé générale, présente également des risques spécifiques dans le contexte de la chirurgie orthopédique. Ces

La chirurgie orthopédique représente une branche cruciale de la médecine, dédiée à la correction des pathologies affectant l’appareil locomoteur. Le Dr Gastaud, spécialiste reconnu dans

Le conflit fémoro-acétabulaire (CFA) de la hanche est une condition orthopédique fréquente, en particulier chez les sportifs. Le Dr Gastaud vous guide à travers